logo

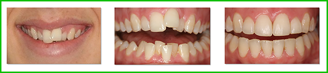
Braces - Teeth straightening

Traditional metal braces have been used for about a hundred years and are still commonly used to straighten teeth. A similar option is ceramic braces which are the same as metal braces but made from white or tooth-coloured ceramic material. They are not completely invisible but are less obvious than metal braces. Another option is lingual braces. These metal braces are stuck to the inside surface of the teeth making them practically invisible.

What does orthodontics treat?

  1. Crooked or crowded teeth
  2. Incorrect biting patterns
  3. Severe misalignment of teeth and/or jaws
  4. Past habits such as thumb sucking that have affected the position of the tooth and development of the jaw bones

Orthodontic treatment is not just about straight teeth. It can correct a bad biting pattern, help with sleep apnoea, and prevent uneven wear of the teeth.

Image

Book Now